-
白肺是不是肺变白了 白肺肺变白吗 编辑
白肺肺变白吗
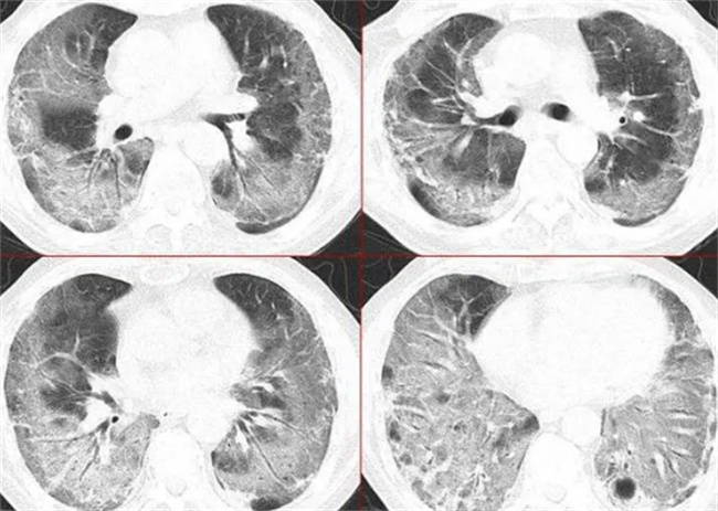
白肺并不是肺部变白,而是影像学上的一个术语。在胸部CT还有胸片拍摄时,肺部的影像学可能会出现黑色,如果颜色变白这就是一种密度变稠的表现。

一、肺部变白到底是什么意思
就是影像学上的一个术语,在拍摄CT之后就会发现肺部影像学主要表现的就是黑色,如果颜色变白,这就意味着密度增稠。大叶性肺炎时还会出现出一种片状变白,会沿着支气管分布。一般在2~3天内就会变成大片的白色状阴影,在临床上会被称之为大白肺,很容易就会引起呼吸衰竭,还有急性呼吸窘迫综合症。

二、所谓的白肺和什么因素有关
临床上的肺部变白因素比较多,但是在经过分析之后可以看到是两种原因,一种是感染性因素,另外一种是非感染性因素。在大部分的情况下,感染都会有着大量的肺泡水肿,因此肺部就会逐渐的变白。还有一种就是非感染性因素,无论是肺神经源性还是肺源性,又或者是心源性,都有可能会导致肺水肿。在这一个阶段就容易会出现肺部变白,需要注意好一些防护措施。

三、如何确定白肺
白肺绝大部分都是因为感染性因素所导致,当然也有可能是非感染性因素所导致,有时候还可能是两种因素结合在一起。要想知道是否已经是白肺,可以根据过往的病史,可以根据症状可以根据胸部X线可以根据实验室检查等等,然后去做出一些具体的分析和判断,再经过分析和判断之后就可以知道是不是已经是白肺。当前的医学早已进入到快速发达的阶段,就算已经确诊也无需过于的担心,有很多的方法都能够控制,没有必要如此的胆战心惊。在经过一段时间之后,必然就能够有效控制病情,可以帮助大家更快的解决眼前的一切问题。






