-
哪些情况需要做肺部CT 什么情况需要做肺部ct 编辑
什么情况需要做肺部ct
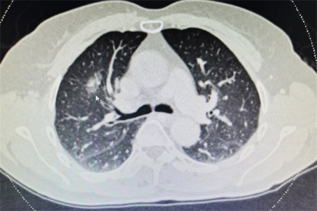
需要做肺部CT的情况,主要就是在严重咳嗽之后出现了呼吸困难,在这一个阶段不应该忽视,应该马上去做。但如果没有出现这些症状,没有必要去做肺部CT,这也是当前所需要注意的。

1、是否有必要去做肺部CT
大部分的情况下并不需要去做CT检查,而如果在确诊阳性之后会出现一直的咳嗽症状,那么在此时就可能会影响到正常的生活,容易导致呼吸困难,这就属于一种异常的现象,应该及时到医院做肺部CT检查。

2、拍摄CT的人数逐渐的增加
有些良性确诊患者在平台上马上就会晒出自己的CT报告,并且还会显示肺部会有明显的白肺情况,建议大家在新冠感染康复之后,就应该马上去做肺部CT检查。许多的人在转阴之后还有咳嗽,而且咳嗽持续了较长的一段时间,因此都会选择来到医院做肺部CT检查,最近一段时间做肺部CT检查的人非常的多,甚至已经达到一个人满为患的现象,但是其中出现严重肺部疾病的人并不是很多,估计仅仅只有1%~2%左右。

3、新冠引起的肺炎是否会康复
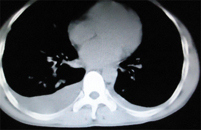
如今所出现的这些肺部影像并非是医学上所说的白肺。临床上主要是指一种肺源性的肺水肿,而且在显示上面就会看到有白色的斑影片,一般这就是因为病毒感染所导致,一般情况是比较轻微的,并不需要过于的担心,再过了一段时间之后就会逐渐的恢复。除了新冠病毒之外结合杆菌感染又或者是流感病毒都有可能会导致肺炎的出现,一般的情况下都是可以恢复的,哪怕是一些比较严重的患者在干预之下也会慢慢的好转,因此也并不需要特别的惊慌。实在担心的话,就可以直接选择去拍一个胸片,就可以显示出很多的问题,然后就可以采取针对性的治疗。






