-
阳后是不是要拍肺部CT吗? 阳后是不是要拍肺部CT吗 编辑
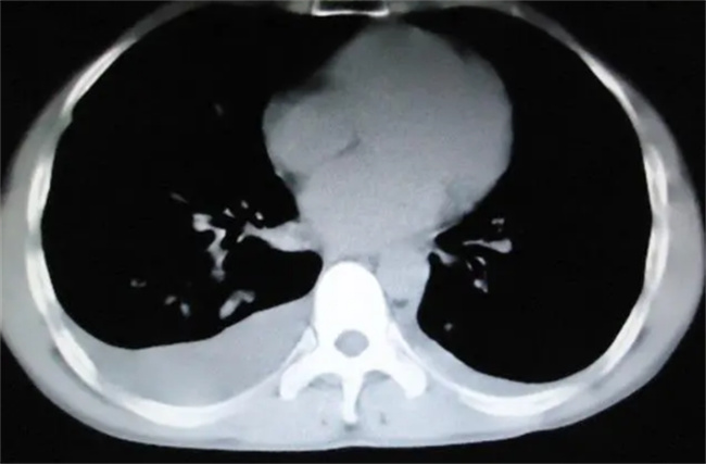
阳后是不是要拍肺部CT吗?
在确诊阳性之后,轻微型人群不需要拍摄肺部CT。如果是肺炎重症人群应该拍摄CT明确是否出现病毒肺。绝大部分人在确诊阳性之后基本上都是轻微型的症状,比如说流鼻涕,咳嗽鼻塞,咽喉疼痛,发热乏力等上呼吸道感染症状,因此没有必要去选择检查肺部。

一、哪些情况说明肺功能下降
一般确诊阳性之后症状就会慢慢的好转,在自测抗原如果连续两次之后都是阴性,就并不需要去做检查。就算肺部有一些感染也无需过于的担心,但其中有一部分的患者可能有基础性疾病,在此时就必须要引起注意。如果高烧超过三天,而且还有呼吸急促,每一分钟超过30次,这就说明肺功能下降,应该及时就医,否则随时都可能会转变成危重。

二、阳了一直咳会不会得肺炎?
感染新冠病毒之后,即便核酸或者抗原已经呈现出阴性,但咳嗽的症状或许也没有消失,有时候也会比较严重。这是因为病毒感染之后会导致呼吸道黏膜受损,会出现上呼吸道感染为主的症状,人体会通过咳嗽把这些分泌物排出去。因此在此时也无需过于的担心,可以选择居家休息,可以用蒸橙子等众多的方式。

三、两种情况别忽视
奥密克戎感染之后主要就是发烧,有一些人可能直接就会进入到39度40度,也有一些人可能就会反反复复,有时候高,有时候低,持续的时间或许比较长。如果高烧39度以上持续三天还没有退烧,这就应该引起重视,虽然体温并不是很高,但肺部有可能已经渗出。建议来到医院去检查一下,可以拍摄肺部CT,如果有基础性疾病,高烧超过三天就容易会转变成肺炎,更应该第一时间到医院去拍摄CT,以免出现不必要的影响留下隐患。






