-
洗牙后有牙缝能恢复吗 洗牙后牙缝变大能恢复吗 编辑
洗牙后牙缝变大能恢复吗
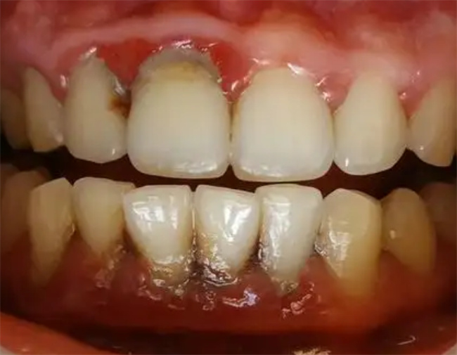
洗牙后牙缝能够恢复,平时有部分小伙伴会选择去洗牙,因为洗牙能够有效的去除牙齿表面的牙结石,当牙齿表面的牙结石被清理干净之后,牙缝就开始变得越来越大,不过部分小伙伴早期发现牙结石之后,牙结石并没有对牙龈造成影响,另外也没有被牙槽骨所吸收,这时候就选择去洗牙的话,能够有效的让间隙慢慢的恢复,但是很多小伙伴发现自己的牙结石特别的多,牙槽骨也已经吸收了牙结石,想要恢复间隙的话可能性微乎其微。

牙缝其实在生活中很常见,很多小伙伴都会遇到这样的问题,一般小伙伴们在洗牙之后,他们的牙缝就会变得越来越大,甚至于会更加的暴露。通过洗牙,有些小伙伴能够让牙缝慢慢的恢复,也有一些小伙伴并不能够让牙缝得到恢复,其实口腔内的牙垢它主要是钙化,以后形成的牙结石,刷牙的时候,很多小伙伴发现牙结石并不能够及时的去除。

牙结石的出现会产生众多的问题,他可能会发出现在牙齿的众多角落,要是我们在平时的生活中没有仔细的刷牙,是很难去除牙结石的,一般牙结石出现之后可能会占据了原牙龈附着的位置,导致牙龈出现了萎缩的情况,一旦牙龈出现萎缩之后想要恢复的话是特别困难的,个人觉得单纯的把牙龈牙结石去除的话,也很难恢复到之前的水平。

很多小伙伴通过洗牙之后,牙结石已经被完全去除,牙龈却恢复不到原来的状态,这时候牙齿所形成的牙缝就会变得越来越大,个人觉得定期洗牙其实对牙齿的健康有一定的帮助,只是大家在选择洗牙的时候,还是要去正规专业的地方洗牙比较合适。因为去正规专业的地方洗牙的话,能够避免问题产生。






